Navigation überspringen Sitemap anzeigen

Vollkeramik in Bremen-Nordästhetisch und hochwertig

Zahntechnische Versorgung ohne Metall Made in Germany.

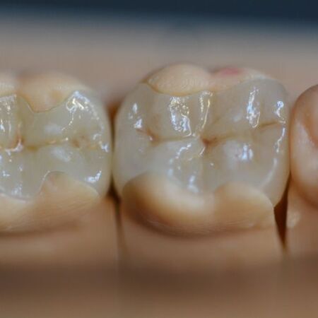
Ein Zahnersatz wirkt besonders natürlich, wenn er optisch perfekt zu den natürlichen Zähnen passt und sich durch maximalen Komfort auszeichnet. Unser Dentallabor in Bremen-Nord bietet unter anderem komplett metallfreien Zahnersatz aus Vollkeramik (Zirkon), der den höchsten Ansprüchen gerecht wird.

Zahntechnische Möglichkeiten im Bereich Vollkeramik

Die Gründe für einen metallfreien Zahnersatz können vielfältig sein. So sind einige Menschen allergisch gegen Metall. Darüber hinaus kann das Metall durch den Zahnersatz schimmern und die Ästhetik beeinträchtigen. Mit einer Ausführung in Vollkeramik ist das Ergebnis sehr natürlich. Folgende Lösungen bieten wir:

Zirkongerüste

Das Material Zirkon ist die optimale Alternative zu Edelstahl oder Gold. Inzwischen sind wir in der Lage, äußerst präzise Zirkongerüste für die keramische Verblendung oder für Kronen und Brücken komplett aus Zirkon herzustellen.

Veneers

Mit Veneers – auch Laminates, Fassetten, Facings und Keramikschalen genannt – lassen sich Zähne im Schmelzbereich wiederherstellen. Veneers werden vornehmlich zur Verschönerung der Frontzähne eingesetzt, können aber auch andere Funktionen übernehmen.

Was sind Veneers?

Veneers sind hauchdünne Schalen aus zahnfarbener Keramik, die unter anderem bei einem verfärbten Zahn, Lücken zwischen den Zähnen oder größeren Defekten und abgebrochenen Ecken auf den Zahn geklebt werden. Der entscheidende Vorteil der Keramikverblendung im Gegensatz zu einer Krone: Es geht nur sehr wenig Zahnsubstanz verloren.

Keramikinlays als Alternative zu herkömmlichen Füllungen

Mit Keramikinlays können wir Zähne wiederherstellen, weil Keramik dem natürlichen Zahnmaterial zu 98 Prozent entspricht.
Wir freuen uns auf Ihre Anfrage.

Zum Seitenanfang